बच्चे के फेफड़े में मिला बादाम का टुकड़ा, लगातार खांसी के बाद डॉक्टरों को लगा झटका.

जीवनशैली
N
News18•06-02-2026, 13:12
बच्चे के फेफड़े में मिला बादाम का टुकड़ा, लगातार खांसी के बाद डॉक्टरों को लगा झटका.
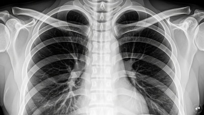
- •एक साल के बच्चे भरत को बादाम का टुकड़ा निगलने के बाद सात दिनों तक लगातार खांसी, बुखार और सांस लेने में तकलीफ हुई.
- •निजी अस्पतालों में शुरुआती इलाज विफल होने के बाद बच्चे को घाटी अस्पताल में भर्ती कराया गया.
- •सीटी स्कैन से बच्चे के बाएं फेफड़े में बादाम का टुकड़ा फंसा होने की पुष्टि हुई, जिसके बाद आपातकालीन ब्रोंकोस्कोपी की गई.
- •घाटी अस्पताल के ईएनटी विभाग के डॉक्टरों ने डॉ. सुनील देशमुख के नेतृत्व में एंडोस्कोप के माध्यम से विशेष चिमटी का उपयोग करके बादाम का टुकड़ा सफलतापूर्वक निकाला.
- •समय पर हस्तक्षेप के कारण बच्चे की जान बच गई, और डॉक्टर माता-पिता से छोटे बच्चों को दिए जाने वाले भोजन के प्रति सतर्क रहने का आग्रह करते हैं.
✦
More like this
Loading more articles...





