रोज ब्रश करने पर भी पीले दांत? जानें असली कारण और समाधान!

जीवनशैली
N
News18•27-01-2026, 15:22
रोज ब्रश करने पर भी पीले दांत? जानें असली कारण और समाधान!
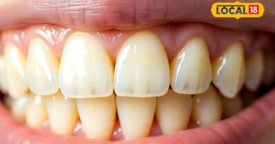
- •दांतों का पीलापन सिर्फ खराब स्वच्छता के कारण नहीं होता, बल्कि अक्सर बाहरी सफेद इनेमल के पतले होने से नीचे की पीली डेंटिन दिखने लगती है.
- •उम्र बढ़ना, आनुवंशिकी, खराब ब्रशिंग की आदतें जिससे प्लाक और टार्टर बनता है, और दाग लगाने वाले खाद्य/पेय (कॉफी, चाय, रेड वाइन) का सेवन पीलेपन में योगदान करते हैं.
- •धूम्रपान एक बड़ा कारण है, क्योंकि टार और निकोटीन स्थायी दाग छोड़ते हैं और मसूड़ों की बीमारी का खतरा बढ़ाते हैं.
- •कुछ दवाएं (एंटीबायोटिक्स, आयरन सप्लीमेंट्स), कीमोथेरेपी और यहां तक कि चोटें भी दांतों का रंग बदल सकती हैं.
- •साल में दो बार पेशेवर स्केलिंग और सफाई, व्हाइटनिंग उपचार, फ्लोराइड टूथपेस्ट से उचित ब्रशिंग, दाग लगाने वाले पदार्थों से बचना और अम्लीय खाद्य पदार्थों के बाद नमक के पानी से कुल्ला करना सफेद दांतों के लिए महत्वपूर्ण है.
यह क्यों महत्वपूर्ण है?: पीले दांत अक्सर इनेमल के पतले होने से डेंटिन के दिखने के कारण होते हैं; पेशेवर देखभाल और अच्छी आदतें महत्वपूर्ण हैं.
✦
More like this
Loading more articles...





